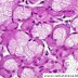
Tráquea de rata (20x)
Observamos el cartílago hialino caracterizado por los condrocitos (Ch) los cuales residen en cápsulas que rodean a las lagunas (Cap, L).
Las lagunas están rodeadas por la matriz interterritorial (*).
El cartílago hialino está rodeado por pericondrio (P).
Técnica: Phosphotungstic acid hematoxylin
Fuente: http://131.229.114.77
TRÁQUEA #12
Etiquetas:
TRÁQUEA
Suscribirse a:
Enviar comentarios (Atom)
No hay comentarios:
Publicar un comentario