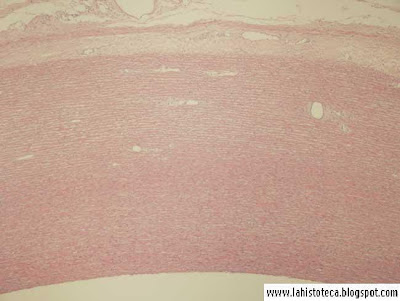
Pared de la aorta (10x )
Encontramos la túnica íntima, media y adventicia.
Observar la microvasculatura propia que desde la adventicia llega hasta cierta profundidad de la túnica media.
También se distingue claramente el endotelio.
Técnica: H&E
Fuente: http://www.atlasdehistologia.com.ar
AORTA #11
Suscribirse a:
Enviar comentarios (Atom)
No hay comentarios:
Publicar un comentario